The story of Cameron 'Dodge' Vann, a 17-year-old from Kentucky, serves as a stark warning about the invisible dangers lurking behind the allure of vaping. Two years ago, Dodge began using e-cigarettes to fit in with his peers, a decision he made in secret from his mother, Crystal Vann. What started as a fleeting attempt to appear 'cool' quickly spiraled into a life-threatening medical crisis, leaving his family grappling with the long-term consequences of a habit many teenagers believe to be harmless.
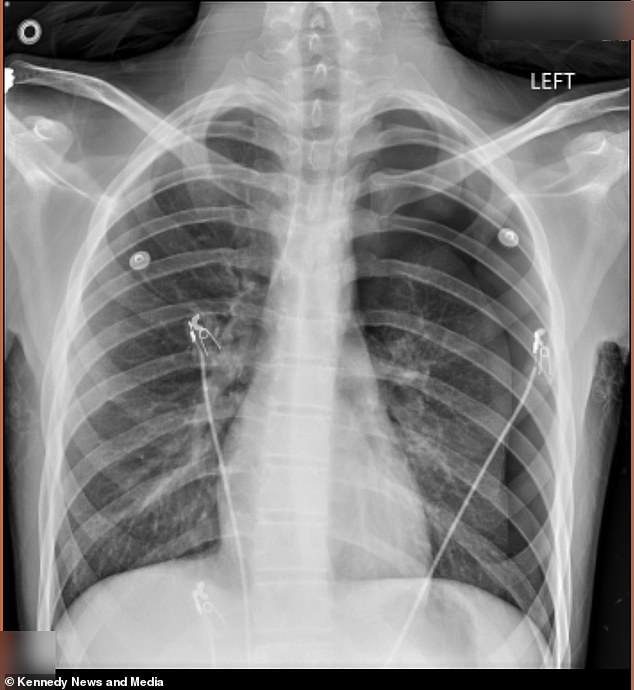
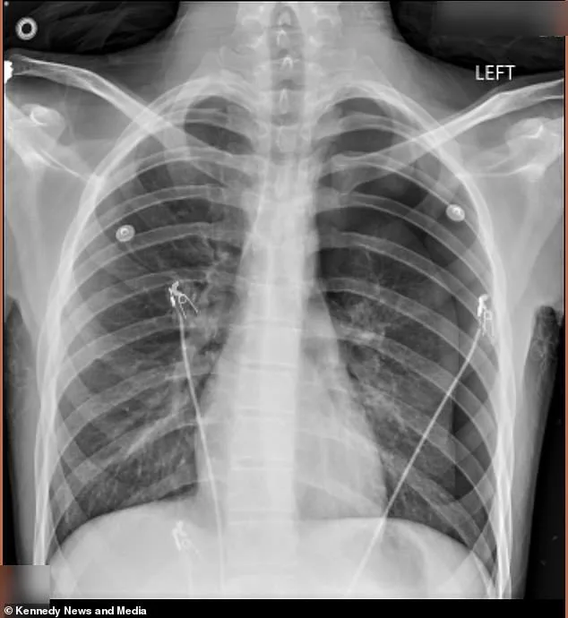
In September 2025, Dodge emerged from his school bus pale and in visible pain. His mother, recognizing the severity of his condition, rushed him to the emergency room. A chest x-ray revealed a shocking reality: 50% of his left lung had collapsed, a condition known as pneumothorax. This occurs when air escapes from the lung and accumulates in the chest cavity, creating pressure that can be fatal if not treated immediately. Doctors intervened by surgically inserting an 18-inch tube into his chest to remove the excess air and allow his lung to re-expand. Despite this intervention, Dodge continued vaping in secret, unaware of the damage he was inflicting on his body.

The situation worsened in January 2026 when Dodge called his mother, gasping for breath and in severe pain. This time, the medical team found his lung had collapsed again, necessitating a more invasive procedure called pleurodesis. During this surgery, doctors scraped the lining of his lung and stapled air-filled blisters, known as blebs, to the top of his lung. They then reattached the lung to the chest wall to prevent future collapses. The ordeal left Dodge physically and emotionally scarred. His mother described the experience as 'horrible,' questioning why her son had been chosen to endure such suffering. 'His friends tried [vaping] and then he tried it. I don't like it at all,' she said, her voice trembling with grief and frustration.

Dodge's case is not an isolated incident. According to 2024 CDC data, nearly 6% of U.S. adults—approximately 17 million people—vape regularly. The highest rates are among young adults aged 18 to 24, with over 15% of that group reporting regular use. Among children, about 1.6 million middle and high school students vape, though usage has declined since its peak in 2019. Despite this, the risks remain alarmingly high. Vaping, once marketed as a safer alternative to smoking, has been linked to a range of long-term health issues, including high blood pressure, stroke, and even cancer. In 2024, doctors published a case study detailing the death of a New Jersey man from aggressive lung cancer, the first known instance directly attributed to e-cigarettes.

The aerosol produced by vapes contains a cocktail of harmful substances, including nicotine, flavorings, and toxic chemicals like formaldehyde and acetaldehyde. When inhaled, these compounds can damage lung tissue over time, leading to DNA mutations and inflammation that increase cancer risk. Dodge, who now lives with lingering pain from his surgeries, described the agony of daily life: 'After the surgery the nerves are dead. Even putting on a shirt feels awful when touching it. Talking vibrates it sometimes, and it hurts so much. I get stabbing pains in my side and can't go to school.' He has since quit vaping 'cold turkey' but still fears another collapse, particularly when sleeping.
Crystal Vann, devastated by her son's suffering, is now a fierce advocate against vaping. She has called for a nationwide ban on all vapes, urging parents and teens to recognize the invisible risks. 'He's so little. It hurts in his back, and he does not want to go to sleep because it hurts when he wakes up,' she said. 'He's been so brave, but he's also scared, asking me if his lung might collapse again while he sleeps.' Her plea is a desperate attempt to prevent other families from enduring the same heartbreak. A GoFundMe page has been established to help cover Dodge's treatment costs, but Vann insists the real goal is to raise awareness. 'I don't want another kid going through it. Don't do it just to be cool.'

As the vaping epidemic continues to spread, stories like Dodge's highlight the urgent need for education and policy change. The line between a 'cool' habit and a life-altering health crisis is razor-thin, and for many teenagers, the consequences of peer pressure can be deadly. With the number of young vapers still alarmingly high, the call for action has never been more urgent.