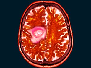
When Shelley Whittaker first noticed a persistent blur in her left eye, she assumed it was a simple matter of her mascara smudging or perhaps an issue with her contact lenses. The 47-year-old health and hygiene worker from Bolton, Greater Manchester, dismissed the symptom for months, even joking with friends about the possibility of going blind. But what began as a minor inconvenience quickly escalated into a life-altering diagnosis. In May 2025, after visiting an optician for a routine check-up, Whittaker was referred to an eye clinic, where scans revealed the presence of a rare benign brain tumor known as a spheno-orbital meningioma—roughly the size of a golf ball. The discovery marked the start of a harrowing journey that would upend her life and raise urgent questions about the safety of a widely used contraceptive.
The neurologist who examined Whittaker asked a question she never expected: had she ever used Depo-Provera, a contraceptive injection containing medroxyprogesterone? Confirming that she had been on the medication for 15 years, Whittaker was immediately advised to stop using it. Her doctor warned her of potential links between the drug and meningiomas, a type of tumor that can develop in the meninges—the protective layers surrounding the brain and spinal cord. The revelation left Whittaker reeling. "I used to encourage people to take it, like me," she said later. "Now I wish I'd known the risks." Her experience has since become a cautionary tale for others considering long-term use of the injection, which is popular among women seeking reliable contraception with minimal daily effort.

According to the NHS, while there is no definitive causal relationship between Depo-Provera and meningiomas, prolonged use of medroxyprogesterone may slightly increase the risk of developing such tumors, though the condition remains rare. Whittaker's case, however, has sparked renewed scrutiny over the medication's safety profile. During her six-month recovery period following a 10-hour surgery to remove 90% of the tumor, she reflected on how her life had changed. "I never had any problems with the injection," she said. "The only risks I was warned about were weight gain and needing more calcium. I never imagined this." Her left eye had swelled dramatically due to the tumor's pressure on the optic nerve, a condition that could have led to permanent blindness if treatment had been delayed.
The surgical team emphasized the complexity of her case. The remaining 10% of the tumor could not be removed because it was too close to critical nerves, leaving Whittaker with a lifelong battle against the disease. "The surgeon told me there was no other option but surgery," she recalled. "It was a tough decision, but I had no choice." Her story has since prompted discussions among medical professionals about the need for clearer risk disclosures for patients on long-term hormonal contraceptives. While Depo-Provera remains a trusted method of birth control, Whittaker's experience highlights the importance of transparency in medication advisories and the value of early intervention when symptoms arise.
Pfizer, the manufacturer of Depo-Provera, has maintained that patient safety is their top priority, emphasizing that the drug has been used safely by millions worldwide for over three decades. In a statement, the company reiterated its commitment to monitoring adverse events in collaboration with global health authorities. Similarly, the Medicines and Healthcare products Regulatory Agency (MHRA) affirmed its role in continuously evaluating licensed medicines for safety. Yet, Whittaker's case underscores a growing debate about whether current warnings are sufficient to inform patients of rare but serious complications. As she navigates her recovery, her message is clear: "I would never have continued taking it if I'd known the risks. This needs to be out there.
The drug in question is an injectable contraceptive formulation containing medroxyprogesterone acetate (MPA), a synthetic progestin widely used for long-term birth control. This method, administered via injection, has been a staple in reproductive health care for decades due to its high efficacy and convenience. However, recent developments have cast new light on its safety profile, prompting regulatory and clinical updates. The initial product information revisions in 2024 emerged from a series of studies that identified an elevated risk of meningioma—a type of benign brain tumor—associated with prolonged use of high-dose MPA formulations. These findings, though not indicating causation, raised significant concerns among healthcare professionals and regulatory bodies.

The updates to product information in early 2025 introduced additional safeguards and clearer guidelines for both providers and patients. New recommendations emphasized the importance of risk-benefit assessments, particularly for individuals with pre-existing conditions that might heighten susceptibility to meningioma. The revisions also outlined strategies to mitigate risk, such as limiting the duration of MPA use where appropriate and ensuring regular monitoring for atypical symptoms. These measures were designed to balance the drug's well-documented contraceptive benefits with the newly identified potential hazards.
A critical component of the 2025 updates was the revision of the Patient Information Leaflet, which now includes explicit warnings about meningioma symptoms, such as persistent headaches, vision changes, or neurological deficits. Patients are advised to seek immediate medical attention if these signs arise, reinforcing a proactive approach to early detection. This shift reflects a broader trend in pharmaceutical communication, where transparency about long-term risks has become a priority. Healthcare providers are also encouraged to engage in thorough discussions with patients, ensuring informed consent and personalized care plans.

While the updates have sparked debate, public health authorities stress that the contraceptive remains a vital tool for many women, particularly those who require reliable, long-acting birth control. The risk of meningioma, though notable, is rare and must be weighed against the drug's effectiveness in preventing unintended pregnancies. Nevertheless, the changes underscore the dynamic nature of medical guidelines, which evolve in response to emerging evidence. For patients with specific concerns, the advice to consult a healthcare provider remains central, highlighting the importance of individualized medical judgment in navigating complex health decisions.