Hudson Williams, a 23-year-old factory worker from Texas, has become a cautionary tale for the dangers of vaping after suffering a partially collapsed lung—a condition he attributes directly to his years of excessive e-cigarette use.
The incident, which occurred in August, marked a turning point for Williams, who had been vaping nearly every 10 seconds for six years before the health crisis forced him to confront the risks of his habit.
His journey from a cigarette smoker to a vaping addict began in 2019, when he switched to e-cigarettes because they ‘tasted better’ than traditional cigarettes.
However, the convenience and flavor variety of disposable vapes soon led to an addiction that would nearly cost him his life.
The ordeal began with seemingly minor symptoms.
Williams described experiencing heartburn that quickly escalated to ‘sharp chest pains’ within 15 minutes. ‘It felt as if somebody had shot me in the chest with a shotgun,’ he recalled, describing the excruciating pain that radiated from his chest to his neck, back, and even his earlobe.
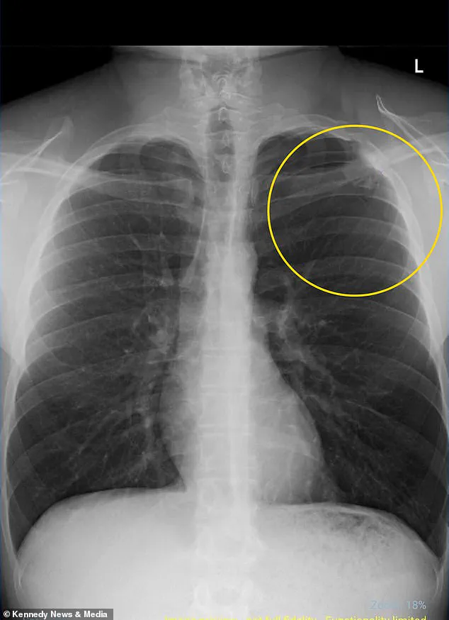
Rushed to the hospital, doctors diagnosed him with a partially collapsed lung, a condition known as a pneumothorax, which occurs when air leaks into the chest cavity, compressing the lung and impairing its function.

The diagnosis was stark: the collapse was 100% linked to vaping, according to medical professionals, and the damage could potentially recur even if he never vaped again.
The medical explanation for his condition highlights the hidden dangers of e-cigarettes.
Vaping devices release thousands of chemicals, including carcinogens like formaldehyde and acetaldehyde, which can erode lung tissue over time.
These substances contribute to the formation of tiny air-filled sacs called blebs, which can rupture and cause the lungs to collapse.
While the collapse in Williams’ case was minor—only 10% of his left lung was affected—doctors warned that the long-term damage to his lung tissue could increase his risk of future complications, including infections and recurring collapses.
Williams’ experience is not isolated.
According to recent statistics, approximately 6% of U.S. adults, or around 17 million people, vape regularly.
The highest rates of use are among young adults aged 18 to 24, with over 15% of this group reporting regular vaping.
Among youth, about 1.6 million middle and high school students still vape, though usage has declined since its peak in 2019.

Despite these trends, Williams admitted he had seen online warnings about the dangers of vaping, including lung damage, high blood pressure, and cancer, but had dismissed them as unlikely to affect him personally. ‘I’m pretty lucky because some people have a full collapse, or even both lungs collapse,’ he said, reflecting on the severity of his condition.
The medical community has increasingly linked vaping to severe health consequences.
In a recent case study published in a medical journal, doctors detailed the death of a New Jersey man from aggressive lung cancer, the first confirmed case of its kind directly attributed to e-cigarettes.
E-cigarettes operate by heating a liquid containing nicotine, flavorings, and toxic chemicals, which, when inhaled, deliver harmful substances deep into the lungs.
Over time, these chemicals can cause DNA mutations and chronic inflammation, increasing the risk of cancer and other respiratory diseases.
Williams’ recovery involved pain medication, supplemental oxygen, and an overnight hospital stay.
While he made a full recovery, doctors emphasized that the damage to his lung tissue was irreversible. ‘It was scary.

I definitely regretted the fact that I’d vaped,’ he admitted.
His experience has become a wake-up call, prompting him to quit vaping entirely. ‘I quit as soon as this happened.
It was 100% the wake-up call I needed to quit for good,’ he said.
Despite acknowledging the difficulty of quitting, Williams urged others to consider the risks. ‘It’s not cool.
It’s hard to quit and it’s a lot easier said than done.
It’s a nasty habit and it’s hard to get out of, but it’s definitely possible.’