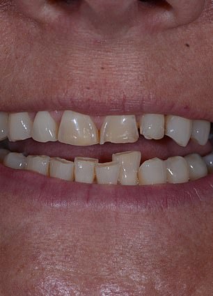
Mandy Turver, a self-employed mother of two from Rotherham, never considered herself someone who would fret over her appearance. Even in her mid-50s, with both of her sons established in their own lives and young families of their own, Mandy's days were still filled with babysitting grandchildren and cooking for them. Her husband, Nigel, and her career as a small business owner provided stability, but one issue had lingered for years: her smile. "I never had problems with my teeth," she says. "But as I got older, they started to change—becoming crooked and yellowing. It really began to affect my confidence. I'd cover my mouth when talking, and I felt like I had the smile of a much older woman."
For years, Mandy avoided the dentist. A bad experience in her 30s—a botched root canal that left her terrified of dental procedures—had made her reluctant to seek help. But the years of neglect took their toll. Her teeth, once straight and white, now seemed to reflect her age more than her personality. "I used to think I didn't have the time or money for something like this," she admits. "But I was tired of feeling invisible."
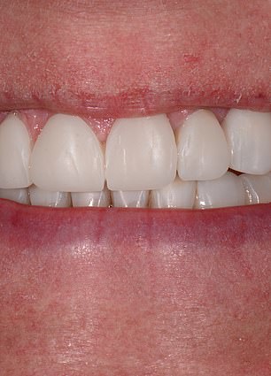
That changed when Mandy stumbled upon a new dental technique called the ABC method. Short for "align, brighten, contour," the procedure promises a painless, minimally invasive way to transform smiles without drilling or injections. At £4,000, it's a steep investment, but for Mandy, the results were worth it. "I'm blown away by the difference it's made," she says. "To my confidence and appearance—it's like I've been given a new face."

The ABC technique, developed by Space Dental, is designed to address the unique challenges of aging teeth. Dr. Affan Saghir, the clinic's owner and a dental surgeon with over 15 years of experience, explains that the process is tailored for those seeking a natural, age-appropriate look. "As we age, the lower jaw shifts, causing teeth to crowd and misalign," he says. "This doesn't just look unattractive—it can also affect how the teeth bite together, leading to wear and sensitivity." For Mandy, this was exactly what had happened. Her lower teeth had shifted forward, creating an uneven, crooked appearance that made her feel self-conscious.
The first step of the ABC method involves aligning the teeth using clear, removable braces. Unlike traditional metal braces, these are nearly invisible and worn for 22 hours a day, only removed for eating or cleaning. Mandy wore hers for eight months, swapping them weekly as they gradually shifted her teeth into place. "The first few days were a bit uncomfortable," she recalls. "But after that, I barely noticed them. They're so discreet."
Once the alignment was complete, the next phase began: brightening. Mandy used an at-home bleaching solution, which she applied nightly. "It's not the harsh stuff you see in ads," she says. "It's gentle and doesn't make my teeth sensitive. After a few weeks, I noticed a difference—my teeth looked whiter, but still natural."
The final step, contouring, involved using a composite resin to reshape any uneven edges or gaps. This material, which is also used to repair chipped teeth, was matched to Mandy's natural tooth color and hardened with a blue light. "It's like painting the teeth," Dr. Saghir explains. "We shape it precisely to create a smooth, even look." For Mandy, the result was transformative. "They look so real," she says. "People can't believe I've had work done. I've even started smiling in photos again."
The ABC method isn't just about aesthetics—it's also about function. By correcting crowding and misalignment, it reduces the risk of enamel wear and sensitivity. Dr. Saghir emphasizes that the technique is particularly suited for older patients, who may not want invasive procedures but still desire a confident smile. "We're not trying to make someone look younger," he says. "We're helping them look their best at any age."

For Mandy, the transformation has been life-changing. She's no longer hesitant to laugh or speak openly. "I feel like I've been given a second chance," she says. "My husband and kids are so proud of me. And I've even started volunteering at a local dental clinic—something I never thought I'd do."
Statistics back up the growing demand for such procedures. Over half of Britons, according to surveys, are insecure about their smiles, with two-thirds avoiding showing their teeth in photos. As teeth age, enamel wears down, revealing yellower dentin beneath. Gum recession further exposes vulnerable roots, increasing the risk of decay. But for Mandy and others like her, the ABC technique offers a solution that's both effective and kind to the aging mouth.

"I should have done this years ago," Mandy says with a grin. "But it's never too late to feel confident again.
What if you could transform your smile in just three visits? That's the promise of a groundbreaking dental technique now sweeping through clinics, offering patients a near-perfect grin that feels completely natural. No more invasive procedures. No more waiting years for results. Just a series of widely used treatments—now branded as the ABC method—designed to align teeth, whiten enamel, and restore confidence in record time.
Dentists are calling it a game-changer. The process involves three steps: aligning crooked teeth with clear braces, bleaching stains to a dazzling white, and contouring gums for symmetry. Each step is nothing new in isolation—but combined, they create a smile that looks like it was always meant to be. "Patients walk in wanting to feel younger, more confident," says Dr. Affan, who pioneered the ABC approach. "They leave looking years younger, with a smile that's not just straight—it's unbreakable."

But here's the catch: most people don't understand how it all fits together. That's why Dr. Affan coined the term ABC, a simple acronym to demystify the process. "I've had patients who thought orthodontics alone would fix everything," he admits. "They're surprised when we add whitening and gum shaping. It's about creating harmony, not just fixing one issue."
Mandy, a 60-year-old who recently underwent the treatment, describes the moment she saw her reflection. "I looked in the mirror and started crying," she says. "It wasn't just my teeth—it was my whole face. I felt like a different person." Her story isn't unique. Patients report feeling more confident, more approachable, even more attractive to others.
Yet the real magic lies in the longevity. Unlike traditional veneers, which chip or stain over time, the ABC method uses materials that resist wear and tear. "This isn't a quick fix," Dr. Affan insists. "It's a lifetime investment in your appearance." All that's needed? Regular check-ups. No special care. Just a smile that stays perfect, year after year.
So what does this mean for the future of cosmetic dentistry? Could the ABC method become the new standard? For patients like Mandy, the answer is clear: it's not just about looking good. It's about feeling whole again.