Ruth Hart was putting on her make-up one morning in March 2021 before heading to work, when she noticed something odd. ‘When I closed my left eye to apply eyeshadow, everything appeared very dark as I looked through my right eye – like I was wearing sunglasses,’ says the 57-year-old civil servant. ‘I did it again to be sure and every time I closed my left eye, it was the same.

But things looked normal when I looked out of both eyes.’
Concerned, Ruth made an appointment with her optician a few days later.
Instead of the reassurance she’d hoped for, she was referred for more checks, after her optician detected inflammation in her optic nerve.
After a three-month wait for an MRI, Ruth was called at 7am the day after the scan and told to come back to hospital as soon as possible.
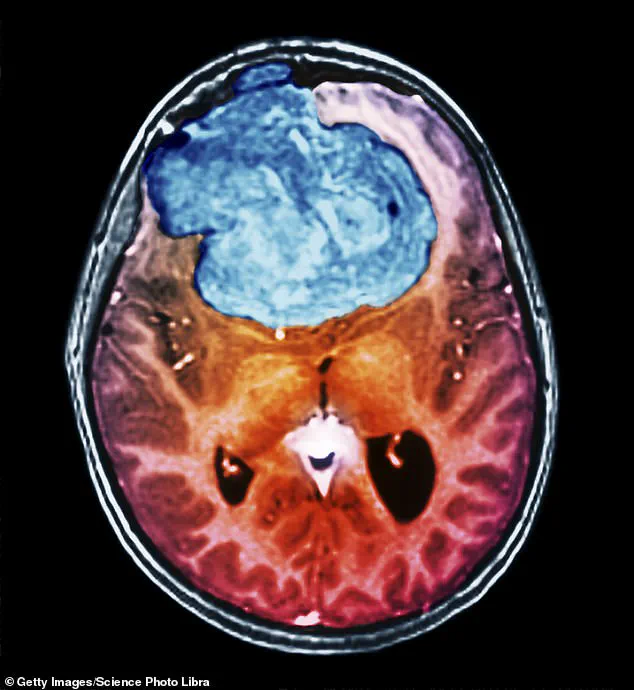
As she sat down in the eye specialist’s office, ‘I could see he had my MRI scan on his computer screen and there was a big white blob – a couple of centimetres in diameter – on the left side of my brain,’ recalls Ruth, a grandmother of three, who lives with her husband in Braintree, Essex.

It was a meningioma, a slow-growing brain tumour.
Although rarely cancerous, it can be life-threatening if it gets so big that it squashes the brain inside the skull.
Ruth’s tumour was wrapped around the optic nerve connected to her right eye.
She only noticed it when she shut her left eye because, doctors explained, the brain had learned to compensate by making her left eye do more of the work.
After a three-month wait for an MRI, Ruth was called at 7am the day after the scan and told to come back to hospital as soon as possible.
She had a meningioma, which can be life-threatening if it gets so big that it squashes the brain inside the skull.

Like most people who develop a meningioma, there was no apparent cause and Ruth was told it was sheer bad luck.
Or so it was thought.
For as the Daily Mail reported last month, three research papers in little over a year tell a very different story.
They concluded that women were between three and five times more likely to develop a meningioma if they had used a brand of contraceptive jab – called Depo-Provera – for more than a year.
About 10,000 prescriptions a month are issued for the drug, also known as medroxyprogesterone acetate, in England alone.
It’s a hormone injection given every three months and works by preventing eggs from being released by a woman’s ovaries.
First licensed for use on the NHS more than 40 years ago, alarm bells over its safety rang with the publication of a study in March 2024, which concluded that women on the jab for at least a year were up to five times more at risk of developing a meningioma in their lifetime, the BMJ reported.
Then, in July, scientists at the University of British Columbia in Canada, who compared meningioma rates in 72,181 women on the jab with more than 247,000 women taking oral contraception found the risks of meningioma were more than trebled in long-term jab users.
The tumours are slow growing – increasing in size by about 1mm to 2mm a year – and most are only diagnosed when they are about 3cm, so they can be present for decades before causing any problems.
This means some affected women may not make the link to their contraceptive jab.
Since reports appeared in the Daily Mail about the possible connection, many readers with meningiomas have been getting in touch.
Although none can be certain the injection caused their tumours, one wrote: ‘I was always told I would never know what caused my tumour – but it’s looking more and more likely that I have Pfizer [the drug company which makes Depo-Provera] to thank for it.’
Meningiomas can cause vision loss, personality changes, memory loss and even paralysis.
And while 70 per cent of patients are alive after ten years, between 10 and 20 per cent die within five years.
The most common type of brain tumour – affecting 2,000 to 3,000 people a year in the UK – meningiomas form in the meninges, the outer layers of tissue that cover the brain.
They can cause vision loss, personality changes, memory loss and even paralysis.
And while 70 per cent of patients are alive after ten years, between 10 and 20 per cent die within five years.
The contraceptive jab, a long-trusted method of birth control for millions of women worldwide, has recently become the center of a growing medical and legal controversy.
At the heart of the debate is a potential link between the injection and the development of meningiomas—benign tumors that arise from the meninges, the protective layers surrounding the brain and spinal cord.
While the evidence is not definitive, a growing body of research and personal accounts have raised alarms among patients and experts alike.
The question that looms over this issue is simple yet profound: Could a drug designed to prevent pregnancy be silently contributing to a life-threatening condition in some users?
The scientific community has yet to reach a consensus on why the contraceptive jab might trigger meningioma growth.
One prevailing theory centers on the synthetic hormone progestogen, a key ingredient in the injection.
Researchers suggest that progestogen may bind to receptors on meningioma cells, potentially stimulating their proliferation.
This hypothesis is supported by studies indicating that certain formulations of the Pill containing progestogen may increase the risk of meningioma, but only in a subset of women who use them for more than five years.
The mechanism remains elusive, however, and scientists caution that correlation does not equate to causation.
In October 2023, the UK’s Medicines and Healthcare products Regulatory Agency (MHRA) took a significant step by urging Pfizer, the manufacturer of Depo-Provera, to include a warning about the potential meningioma risk in patient information leaflets.
The move followed a review of emerging data and came amid mounting pressure from medical professionals and patients.
Pfizer responded swiftly, sending a letter to NHS doctors that instructed them to immediately discontinue the use of Depo-Provera in women diagnosed with meningioma.
The company did not provide a public statement on the matter, but internal communications obtained by legal teams suggest a more complex picture.
Across the Atlantic, the legal battle has intensified.
In the United States, a class-action lawsuit is currently underway against Pfizer and generic manufacturers of the contraceptive jab.
Over 500 women allege that the companies were aware of the meningioma risk long before it was publicly disclosed but failed to adequately warn users or promote safer alternatives.
The lawsuit hinges on whether Pfizer’s internal documents reveal a deliberate omission of critical safety information.
If proven, the case could set a precedent for holding pharmaceutical companies accountable for delayed risk disclosures.
In the UK, the legal landscape is still evolving.
Hundreds of women have sought legal advice, questioning whether they can pursue similar claims against Pfizer.
Chaya Hanoomanjee, a partner at the London law firm Austen Hays, confirmed that her team is investigating the possibility of a UK case. ‘We are examining the evidence to determine whether Pfizer’s actions—or inactions—constitute a failure to warn,’ she stated.
The outcome of such a case could have far-reaching implications, not only for the women involved but also for the broader regulatory framework governing pharmaceutical safety.
Despite the growing concerns, researchers emphasize that the absolute risk of meningioma among contraceptive jab users remains extremely low.
A study by the University of British Columbia found that for every 1,111 women using the injection, only one would develop a meningioma.
This statistic, while small, has done little to reassure those who have already been diagnosed.
For women like Ruth, a 54-year-old from the UK who has lived with the consequences of the jab for over two decades, the numbers feel like an abstract comfort rather than a solace.
Ruth’s journey began in 2001, when she was prescribed Depo-Provera to manage heavy, painful periods.
Her GP assured her that the injection would alleviate the symptoms, which it did.
She remained on the jab for over 20 years, unaware of the potential long-term risks. ‘The only side effect I was ever warned about was osteoporosis,’ she recalls.
It wasn’t until she read about the meningioma link in a newspaper article that the pieces began to fall into place.
After being diagnosed with a meningioma in her early 50s, Ruth underwent a six-and-a-half-hour surgery to remove 90% of the tumor.
The remaining portion, curled around her optic nerve, is deemed too risky to extract.
Now, she undergoes annual MRIs to monitor its growth, a process that leaves her with a lingering sense of dread.
Joann Hibbitt, a 64-year-old seamstress from Preston, Lancashire, has a similarly harrowing story.
Her meningioma was discovered by chance during an MRI scan for an unrelated throat issue in 2022.
The tumor, measuring 4.5cm in diameter, was located on the left side of her brain.
Joann had used Depo-Provera in the 1990s but was unaware of the potential risk until she read about it in the Daily Mail.
Her consultant believes the tumor may have been developing for years, but its size and location make surgical removal impossible. ‘If it grows, I could lose all feeling and control in the right side of my body,’ she says, her voice tinged with fear.
The Faculty of Sexual and Reproductive Healthcare, which represents experts in contraception, has urged women concerned about the meningioma risk to consult their GPs about alternative contraceptive methods. ‘It’s important to remember that the overall risk is very small,’ a spokesperson told Good Health.
Yet for those who have already faced the consequences, the reassurances ring hollow.
Ruth, who has lost 50% of the vision in her right eye, says she would have willingly endured the period pain rather than take the jab. ‘It feels like I have a ticking timebomb inside my head,’ she says. ‘Pfizer should be held accountable for it.’
Pfizer has remained silent on the matter, declining to comment on the legal proceedings or the scientific debates surrounding Depo-Provera.
As the legal and medical scrutiny continues, the lives of thousands of women hang in the balance.
For now, the truth about the contraceptive jab’s role in meningioma development remains shrouded in uncertainty, leaving patients, doctors, and regulators to navigate a path forward without clear answers.













